Allergic acne symptoms?
summary
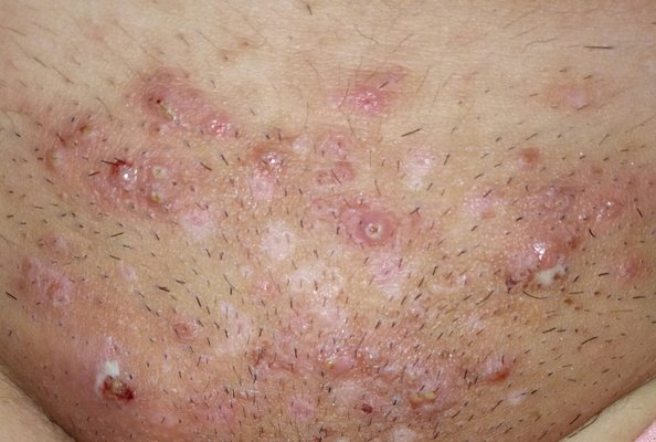
Allergic acne is mainly caused by skin allergy. It is one of the most common diseases in cosmetic dermatology department. Clinically, it mainly occurs in the face, chest, back, shoulder, neck and other parts. There are small follicular diagnosis, symmetrical distribution, some can squeeze out white spots, called white head acne, some can squeeze out black fat plug, called black head acne, some secondary infection, small pustules, Abscess, inflammation stage pain, mostly in adolescent men and women; Sometimes the development may evolve into inflammatory papules, nodules, cysts, scars, etc. Allergic acne symptoms? Let's talk about it
Allergic acne symptoms?
The most important feature of allergic acne is that it often presents a closed type of acne, with redness around and itching. Therefore, the skin of allergic acne is easy to cause infection symptoms such as redness, swelling, inflammation and ulceration due to scratching and squeezing,

The skin is repeatedly damaged. In addition to the repeated appearance of acne, the skin quality is getting worse day by day, and there are problems such as coarse pores, dark yellow skin, pigmentation, spots and so on. In addition to skin sensitivity, the causes of allergic acne include endocrine disorders, genetic factors and external factors,

The increase of androgen secretion and sebum secretion are the main endocrine factors in the body. If parents have long acne trouble, children will generally inherit this acne constitution.

matters needing attention
Allergic acne is a collection of two major problems of allergy and inflammation. In principle, to treat us, we can first remove acne, and then for allergic symptoms, oral antihistamines combined with antibiotics are recommended. Cosmetics can choose skin care products containing chamomile and anti-inflammatory and sedative ingredients.















