How to treat sinus cyst?
summary
In 2009, I was diagnosed with a mucocele in the paranasal sinuses. At first, I was scared, but I was cured by the doctor's treatment. I want to share my experience with you.
How to treat sinus cyst?
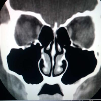
First of all, I just went to the hospital and was diagnosed with nasal cyst. The doctor asked my wife to have an X-ray examination. In the film, I could see the swelling of the nasal cavity, which was obviously the phenomenon of nasal cyst. Moreover, the doctor said that my wife's eyeball had been compressed and needed further treatment.

Second: after the operation, the wife should check the recovery of the nose every day. At the same time, she should not eat spicy food and need a light diet. After a week, I will be able to leave the hospital. When I just leave the hospital, I may not be used to it, but it will get better gradually. I feel that my nose is more unobstructed and people are more happy.

Third: the doctor said that my wife's condition is more serious, need to carry out low-temperature plasma ablation surgery, this operation is a small minimally invasive surgery, basically no scars, need to be hospitalized for a week, before the operation, the wife's nose needs to be well cared, the nurse helps the wife to carry on the nose hair pruning, and then coated with chloramphenicol eye ointment, disinfection and sterilization. My wife didn't feel pain during the operation. After the operation, because the nose was very close to the brain, although it was local anesthesia, she was still sleeping.

matters needing attention
Simple sinus cyst, slow growth, no treatment, if accompanied by sinusitis, need active treatment, usually pay attention to rest, avoid fatigue, stay up late, drink more water, avoid spicy, exercise more, pay attention to keep warm, avoid cold.













