What are the symptoms of acne?
summary
Acne is a chronic inflammatory skin disease of hair follicle sebaceous unit, which mainly occurs in teenagers. It has a great impact on Teenagers' psychology and social life, but it can be naturally alleviated or cured after puberty. The clinical manifestations are characterized by acne, papules, pustules, nodules and other pleomorphic lesions. What are the symptoms of acne? Let's talk about it
What are the symptoms of acne?
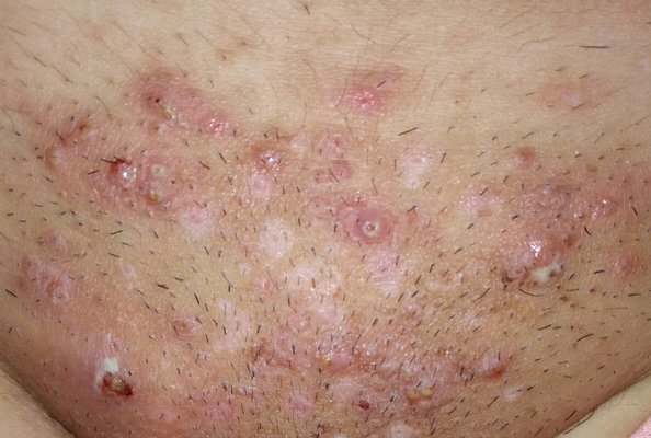
Most of the lesions were on the face, chest and back. Non inflammatory lesions of acne are characterized by open and closed acne. The typical lesions of closed acne (also known as white head) are skin papules about 1 mm in size, without obvious hair follicle openings.

Open acne (also known as blackhead) is characterized by a domed papule with a prominent dilated follicle opening. Further development of acne will evolve into a variety of inflammatory lesions, manifested as inflammatory papules, pustules, nodules and cysts. The inflammatory papules were red, ranging in diameter from 1 mm to 5 mm; The pustules were uniform in size and filled with white pus; The diameter of the nodule was more than 5 mm, with induration and pain; The cyst is deeper and filled with a mixture of pus and blood. These lesions can also fuse to form large inflammatory plaques and sinuses.

Pigmentation, persistent erythema, depressed or hypertrophic scars are often left after the inflammatory lesions subside. Clinically, according to the nature and severity of acne lesions, acne can be divided into 3 degrees and 4 grades: Grade 1 (mild): only acne; Grade 2 (moderate): besides acne, there are some inflammatory papules; Grade 3 (moderate): in addition to acne, there are more inflammatory papules or pustules; Grade 4 (severe): in addition to acne, inflammatory papules and pustules, there are nodules, cysts or scars.

matters needing attention
(1) topical medicine vitamin A acid (vitamin A cream, Adapalene Gel, Tazarotene Gel), benzoyl peroxide, antibiotics (clindamycin, erythromycin, chloramphenicol, etc.), azelaic acid, sulfur lotion and so on. 2) Tetracycline (minocycline, doxycycline, etc.) is the first choice for oral antibiotics, followed by macrolide (erythromycin), avoiding the choice of antibiotics commonly used in the treatment of systemic infections such as levofloxacin. The course of antibiotics is usually 6-12 weeks.











