How is rash blain treated?
summary
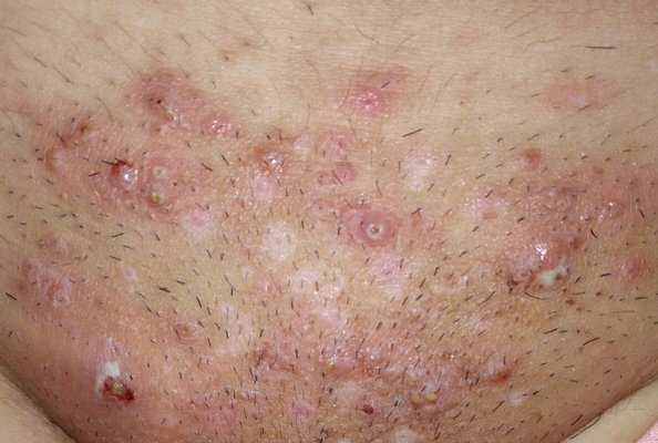
Many people think that a long red small protuberance, is acne. Even those small red rashes on the chest, back and arms are regarded as acne. They try their best to apply some acne ointment. As a result, the more they apply, the more serious they become. Dermatology experts pointed out that many things that look like acne, in fact, are mistaken, it is not acne! How is rash blain treated? Let's talk about it
How is rash blain treated?
For acute or refractory pathology can take adrenocortical hormone treatment, but this treatment time can not be too long, if it can be good, naturally is good, if not, need to change other drugs.

Urticaria caused by infection can be treated with antibiotics, especially for urticaria caused by obvious or latent intestinal infection.

Urticaria caused by infection can be treated with antibiotics, especially for urticaria caused by obvious or latent intestinal infection. Can choose vitamin K, vitamin E, vitamin B12, aminophylline, reserpine, chloroquine oral, aprotinin, 6 aminohexidine, sodium thiosulfate intravenous, heart and tissue therapy, blood therapy.

matters needing attention
In terms of diet, we should pay attention to nutrition balance, and eat more milk, fresh water fish, bean products, fresh vegetables and fruits to enhance skin resistance. Avoid salt water, fish, shrimp, crab and other food that can cause allergy
















